¿Dolor de rodillas en niños?
– “Enfermedad Osgood Schlatter”
Si tu hijo/a, que practica o ha practicado recientemente deporte de actividad física intensa, comienza a sufrir dolor de rodillas sin causa aparente alguna, no es necesario alarmarse, es posible que nos encontremos frente a un caso de enfermedad Osgood Schlatter. Aunque su nombre de primeras pueda causar miedo, se trata de una patología común responsable frecuentemente del dolor de rodillas en la adolescencia.
¿Qué es la enfermedad Osgood Schlatter?
La enfermedad Osgood Schlatter, es una apofisitis de la tuberosidad tibial, proyección situada en tercio proximal de la tibia, en el margen anterior, inmediatamente inferior a los cóndilos, y que sirve para la inserción del músculo cuádriceps femoral por medio del tendón patelar. (1,2) Resulta como consecuencia de la práctica de deportes competitivos que conllevan una brusca flexión y extensión de la rodilla, tales como fútbol, salto de altura y de longitud, baloncesto, voleibol, etc (3,4,5,6,7,8) Lo que combinado con un crecimiento rápido (9), peso y talla del paciente (1) (3), mala alineación de extremidades pélvicas (3) (19) o falta de laxitud ligamentosa (5) (11) termina provocando la aparición de una hinchazón visible y doloroso por debajo de la rodilla. (12-13).
Los pacientes con apofisitis tibial generalmente sufren dolor a nivel de cara anterior de rodilla por periodo de varios meses y entre un 20%-30% reporta síntomas bilaterales Se consideraba que es más frecuente en sexo masculino (1) (14-15) a los 13 – 14 años y en sexo femenino a los 10 – 11 años, en la etapa en que presentan un aumento en la tasa de crecimiento. (16-18).
Se considera una lesión por sobre uso, la causa exacta de esta condición es desconocida, pero se piensa que es secundaria a micro traumas repetitivos o a tracción ejercida sobre la tuberosidad tibial. (16) (19). Representa aproximadamente un tercio de las consultas por problemas musculoesqueléticos en atención primaria (20) por ello es importante realizar una historia clínica detallada, correcto examen físico y en el caso de estar indicados, hacer uso de imágenes y estudios de laboratorio. La manifestación clínica característica es el dolor preciso a nivel de la inserción distal del tendón rotuliano, localizado en la tuberosidad tibial, en la región anterior de la rodilla, pudiendo existir aumento de volumen variable a ese nivel. (16) (21-22) A la palpación se puede observar tumefacción nodular en la TTA. Entre las maniobras que despiertan dolor se encuentran: Presión sobre la TTA, extensión de la rodilla, contra resistencia, y flexión pasiva forzada. (19) (23-26).
El dolor empeora con actividades como subir y bajar escalones o con contracciones poderosas del cuádriceps. También al agacharse o al saltar ya que el aterrizaje en una superficie dura somete a un estrés excesivo la inserción del tendón patelar. (17)
Diagnóstico de la enfermedad de Osgood Schlatter
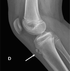
Su diagnóstico es fundamentalmente clínico (1) (27), requiere conocimientos de la anatomía de la rodilla, de los mecanismos de lesión, habilidad para el examen físico y conocimiento de los diagnósticos diferenciales. Aunque se deben solicitar estudios radiológicos en determinados cuadros atípicos para así descartar otras patologías. Destacan como hallazgos radiológicos en EOS: (24-25)
| Partes blandas | Hueso |
| Edema generalizado | Condensación, fragmentación, reestructuración. |
| Borrado de la grasa infrarotuliana | Osificación tibial irregular |
| Engrosamiento del tendón rotuliano | Aparición de osículos independientes |
| Ensanchamiento óseo | |
| Imagen en gota de cera de la epífisis tibial superior |
La edad y el sitio anatómico del dolor son dos factores importantes para el diagnóstico adecuado. (17) Los niños y adolescentes pueden presentar otras enfermedades causantes de dicho dolor de rodillas, por ejemplo, la enfermedad de Sinding-Larsen-Johanson (en este caso el dolor se localiza en el polo inferior de la rótula. Aunque la edad de presentación es levemente menor (10-13 años). En estos casos, el estudio radiológico puede mostrar formación de un osículo y fragmentación del polo inferior de la rótula). (29-30)
El dolor y las molestias desparecen normalmente una vez que el niño ha finalizado su etapa de crecimiento, y hasta que esto ocurre, sólo es necesario tratar los síntomas.
Tratamiento de la enfermedad de Osgood Schlatter
El tratamiento inicial es conservador. Este incluye: (31)
- Administración de analgésicos/antiinflamatorios no esteroideos durante 5-7 días. (8) (19) (29) (31-33)
- Aplicación de frío (hielo o compresas frías). (19) (26) (29) (31-33)
- Descarga de la articulación, a través de una pérdida controlada de peso si el paciente es obeso. (26) (31)
- La terapia física es clave para mejorar la fuerza y el balance muscular, controlar la inflamación y el dolor, y de esta forma permitir una pronta mejoría y rápido retorno a las actividades deportivas. (5) Las bandas/cintas rotulianas ayudan a disminuir y distribuir las cargas cíclicas del tendón rotuliano, limitan la capacidad del cuádriceps de traccionar sobre la TTA por lo que son de gran ayuda para evitar la recidiva de la lesión, cuando el paciente regresa a sus actividades deportivas. (1) Es aconsejable mantener la movilidad de la rodilla con ejercicios de elongación del aparato extensor y potenciar la musculatura del cuádriceps mediante ejercicios isométricos. (29) (32-36)
- El uso de un vendaje infra patelar durante 6-8 semanas proporciona alivio de los síntomas en la actividad deportiva. (19)
- Reposo relativo: modificación de la actividad física en casos leves y suspensión temporal de la misma en casos severos. (26) (29) (31-33)
Estas medidas son la base para evitar la cronificación del dolor por fallo en la osificación y, por tanto, imprescindibles si queremos eludir la cirugía. Por ello, habrá que informar a la familia y de manera exhaustiva al joven, para conseguir que este participe activamente en su propio proceso terapéutico. Suele tener una evaluación favorable. La mayoría de los investigadores afirman que los síntomas se resuelven en semanas o meses de forma espontánea y se autolimitan en el 90% cuándo el niño/a completa su crecimiento. Sin embargo los síntomas pueden continuar con altibajos durante 12-24 meses antes de la resolución completa. (18) (26) (36-38) Tan solo un 10% de los pacientes tiene una mala evolución que precise liberación quirúrgica y exéresis de los restos osiculares o cartilaginosos libres. (39-40) Dentro de una publicación reciente, se expone que después de la cirugía el 87% de los pacientes pudo llevar una vida normal y el 75% era capaz de realizar ejercicio físico al mismo nivel que el de partida. (39).
En un estudio realizado por Beovich y Fricker, el 91% (20 de 22) de los atletas adolescentes obtuvieron alivio sintomático con hielo, aspirina y ligera modificación de la actividad deportiva. Sólo 2 necesitaron dejar de practicar deporte durante algún tiempo, y ninguno necesitó cirugía. (41) Hussain y Hagroo también realizaron un seguimiento de 261 pacientes con EOS y comunicaron que 237(90,8%) pacientes respondieron bien al reposo, modificación de actividad deportiva y medicación antiinflamatoria no esteroidea. Los 24 pacientes que no mejoraron con medidas conservadoras fueron sometidos intervención quirúrgica y volvieron a su actividad normal en un tiempo medio de 4-5 semanas. (42) Carlos Almícar reporta otro caso de EOS que evoluciona favorablemente con medidas conservadoras. (7). Tras todo esto, podemos afirmar que se trata de una patología benigna y autolimitada con buen pronóstico cuyo diagnóstico precoz resulta evidentemente necesario para evitar complicaciones futuras. Es importante que el paciente y su familia entiendan que mientras el cartílago de crecimiento esté abierto la enfermedad puede recurrir. (1) (16) La principal complicación de la EOS a largo plazo se conoce como enfermedad de Pinlach-Aznar(en adultos), y cursa con dolor crónico por fallo en la osificación de la TTA durante la infancia. (26)


